www.188sb.com

当前位置:主页 > www.188sb.com >
  • 一个人的左右肺有几片叶子。

    2019-09-28一个人的左右肺有几片叶子。

    全部展开 左右肺叶:左肺有斜裂(小叶间裂),从上后肺到下肺和下肺。裂痕在肺门深处,左肺分为上叶和下叶。 除了右肺的对角线分割之外,还存在从对角线分割开始并水平开始的前...

  • 戴灵健的声音的下一句话是什么?

    2019-09-28戴灵健的声音的下一句话是什么?

    唐诗 戴灵健下句话和罗格骄傲的内容是什么? 诗歌来源 在戴令坚的声音下,最后一部风笛诗是唐代作家写的。 诗歌解释 注意:充分利用唐代诗歌,突出青年派别的叙事,并结合起止因...

  • “电影旁边有3M黑人绅士吗?我想看一下真实的效

    2019-09-28“电影旁边有3M黑人绅士吗?我想看一下真实的效

    快速反应 骄傲的生活-武汉和拉苏(Rsaquo)的生活消费者社区。社区与rsaquo;江城与rsaquo; 电影旁边有位3M黑人绅士吗? 我想看到真正的效果。 武汉购物中心专卖店购物人全球购买武汉团...

  • 为什么73和84这辈子是两个障碍?什么是压力和陈

    2019-09-28为什么73和84这辈子是两个障碍?什么是压力和陈

    类似文章 更 在“ 40年”的生活中为什么有这么多谚语? 在“ 40年”的生活中为什么有这么多谚语? 为什么40岁那年有这么多谚语? 从古老的圣人到镇上的普通百姓和国家法律,关于...

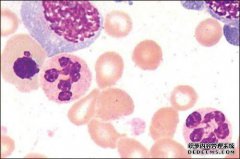
  • 嗜碱性粒细胞增多的原因是什么?

    2019-09-27嗜碱性粒细胞增多的原因是什么?

    你好,增加:外周血嗜碱性粒细胞的绝对值引用限值(0。 05×109 / L)。 1)过敏性或炎症性疾病:麻疹或溃疡性结肠炎。 荨麻疹是由对某些抗原或物理因素(例如感冒)的过敏,血清...

  • 肝黑色素瘤

    2019-09-27肝黑色素瘤

    [结肠癌]横结肠癌 [直肠癌]肛周包块,低分化癌 [甲状腺疾病]你真讨厌走路! 没有力量! [乳房手术]我应该做乳房乳腺手术吗? [乳腺癌]II期乳腺癌浸润性导管癌 [胃肠外科]十二指肠上憩...